Full Digital Color Doppler Ultrasonic Dianostic Instruments for Animal
- Large Screen Display
- Built-in Lithium Battery
- Small Size, Light Weight, Easy to Carry
- Equipped with a Wide Range of Probes for Abdominal, Obstetric, Vascular, Cardiac, Small Organ, Urinary Applications
- A Variety of Digital Peripheral Interfaces, Provides a Variety of Imager Output Methods
- PC Platform, Easy to Operate, Meet Various Software Upgrades
Principale Functions of Veterinary Ultrasound Scanner

Veterinary Ultrasound Scanner DCU20/30/50
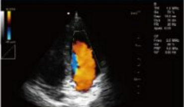
Rich Clinical Application Function
- B+CF (Dual Images)
- B+CF/DPDI+PW (Triplex)
- Convex Extended Imaging Technology
- Linear Array Deflection/Trapezoidal Imaging Technology
- Spatial Compound Imaging Technology
- Panoramic Imaging Technology (Opzionale)
- Speckle Nosie Removal Technology
- Pulse Inversion Tissue Harmonic Imaging Technology(iTHI)
Veterinary Ultrasound Scanner DCU20/30/50
Configurazione opzionale
- 3.5 MHz Convex Wide-band Probe
- 6.5MHz Micro Convex Probe
- 7.5MHz Linear Probe
- Phased Array Probe

















