Full Digital Color Doppler Ultrasonic Dianostic Instruments for Animal
- Affichage grand écran
- Batterie au lithium intégrée
- Petite taille, Poids léger, Facile à porter
- Équipé d'une large gamme de sondes pour les abdominaux, Obstétrique, Vasculaire, Cardiaque, Petit orgue, Applications urinaires
- Une variété d'interfaces périphériques numériques, Fournit une variété de méthodes de sortie d'imageur
- Plateforme PC, Facile à utiliser, Rencontrez diverses mises à niveau logicielles
Principal Fonctions du scanner à ultrasons vétérinaire

Échographe vétérinaire DCU20/30/50
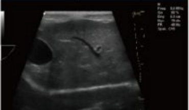
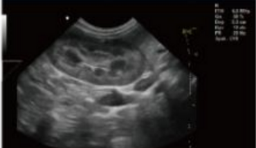
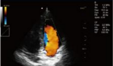
Fonction d'application clinique riche
- B+CF (Images doubles)
- B+CF/DPDI+PW (Triplex)
- Technologie d'imagerie étendue convexe
- Technologie de déviation de réseau linéaire/imagerie trapézoïdale
- Technologie d’imagerie composée spatiale
- Technologie d'imagerie panoramique (Facultatif)
- Technologie d'élimination des mouchetures
- Technologie d'imagerie harmonique des tissus par inversion d'impulsion(CE)
Échographe vétérinaire DCU20/30/50
Configuration facultative
- 3.5 Sonde convexe à large bande MHz
- 6.5Sonde microconvexe MHz
- 7.5Sonde linéaire MHz
- Sonde multiéléments

















